Clayton Sidney de Almeida Vergara1. https://orcid.org/0000-0002-3339-358X Perito Pesquisador da Sociedade Brasileira de Ciências Forense SBCF/ Tecnólogo em Ra- diologia. Pós Graduado em Diagnóstico por Imagem/Pós Graduando em Ciência Forense e Perícia Criminal/Pós Graduando em Anatomia e Patologia Associada/ Técnico em …
Radiologia Forense e sua Importância nas Investigações Médicas Legais. Publicado: N°2-2024 Con – Ciencia Forense: Convergencia de Disciplinas: Aplicaciones Forenses y Jurídicas 1. Introdução A Radiologia Forense teve início com o Prof. Arthur Schuster do Owens College que já em …
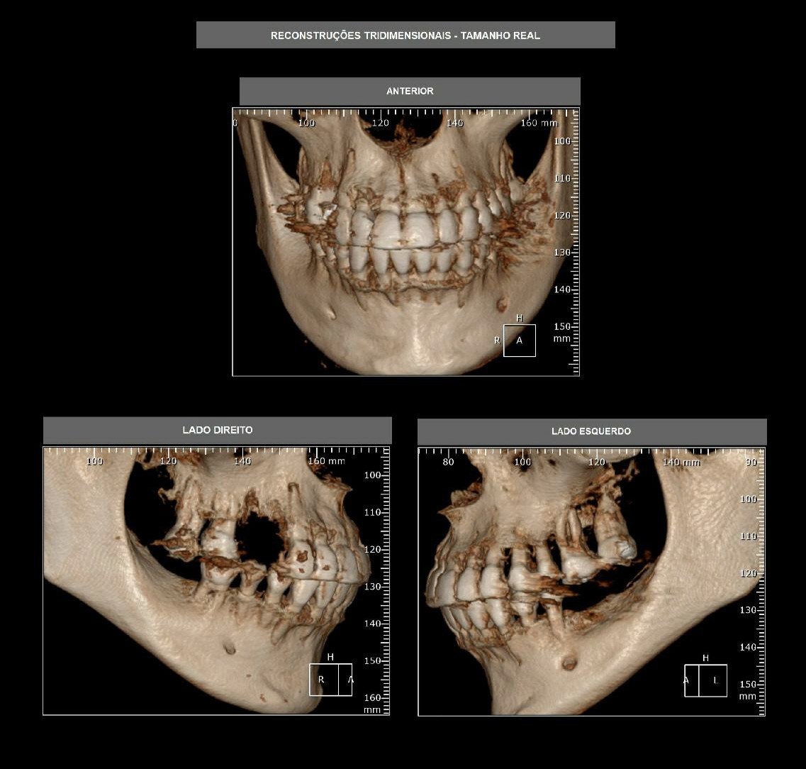
O papel fundamental dos tecnólogos e técnicos em Radiologia nas investigações Forenses Recebido: 21/12/2023 | Revisado: 28/12/2023 | Aceitado: 29/12/2023 | Publicado: 02/01/2024 Resumo A Radiologia Forense é uma área da medicina legal que utiliza técnicas de imagem para investigar …
Mamografia: Uma Ferramenta Essencial no Diagnóstico do Câncer de Mama A mamografia é um exame de imagem que utiliza raios X para estudar a anatomia do tecido mamário. Este exame é um dos principais aliados do sistema de saúde na …
ESTUDO DA PROSTATA PELA RESSONÂNCIA MAGNÉTICA Prof. KERLA AFFONSO A ressonância magnética (RM) da próstata é uma técnica de imagem avançada que é frequentemente utilizada para avaliar a próstata, especialmente para a detecção e caracterização de doenças da próstata, como …
Uma visão geral do Coração Humano O coração humano é um órgão vital que bombeia sangue através dos vasos sanguíneos do sistema circulatório. O sangue fornece ao corpo oxigênio e nutrientes, além de ajudar na remoção de resíduos metabólicos. Neste …
A Importância da Especialização em Angiotomografia para Técnicos em Radiologia Introdução: A radiologia desempenha um papel vital na medicina moderna, fornecendo informações visuais essenciais para diagnóstico e tratamento de pacientes. No entanto, em um campo tão dinâmico e em constante …
INTELIGÊNCIA ARTIFICIAL NA COLABORAÇÃO DO ESTUDO NEUROLÓGICO PELA RESSONÂNCIA MAGNÉTICA Prof. KERLA AFFONSO A inteligência artificial (IA) tem desempenhado um papel cada vez mais importante na área da ressonância magnética (RM) e na medicina em geral. A IA tem sido …
Organelas celulares: estruturas e funções As organelas celulares são estruturas especializadas que desempenham funções importantes nas células. Elas estão envolvidas em uma variedade de processos, como a produção de energia, a síntese de proteínas, a digestão de substâncias e o …
O Esqueleto Humano É dividido em duas partes: o esqueleto axial e o esqueleto apêndice. O Axial é o crânio (caixa encefálica), tórax (tórax) e coluna vertebral. Apêndice são membros superiores, membros inferiores (braços, mãos, pernas, pés), ombros, cintura, pelve, …










